Our results

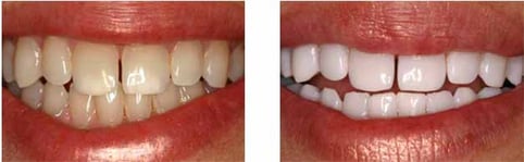
RESULT AFTER BLEACHING

 

Before

  • Mild to moderate discoloration on the teeth due to coffee and tea consumption.
  • Desire for gentle whitening due to sensitive teeth.
  • Teeth and gums are generally healthy.

Treatment procedure

  • Professional teeth cleaning to remove plaque and tartar.
  • Application of a gentle, peroxide-free whitening gel.

Result

  • Significant whitening of the teeth by 5 shades.
  • Gentle and painless treatment.
  • Lasting results with appropriate dental care.

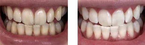
RESULT AFTER POWER BLEACHING

Before

  • Significant discoloration of the teeth due to regular consumption of coffee, red wine and tobacco.
  • Severe discoloration that is difficult to remove with gentler methods.
  • Desire for immediate and maximum results in a short time.
  • Teeth and gums are healthy and free from caries and gum disease.

Treatment procedure

  • Professional tooth cleaning to remove plaque and tartar.
  • Application of a gentle, highly concentrated whitening gel to the teeth.

Result

  • Immediate and striking whitening of the teeth by 7 shades.
  • Painless and effective treatment.
  • Long-lasting result, especially with good oral hygiene and regular care.

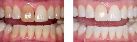
RESULT AFTER PHILIPS ZOOM POWER-BLEACHING

Before

  • Significant discoloration of the teeth due to regular consumption of coffee, red wine and tobacco.
  • Severe discoloration that is difficult to remove with gentler methods.
  • Desire for immediate and maximum results in a short time.
  • Teeth and gums are healthy and free from caries and gum disease.

Treatment procedure

  • Professional tooth cleaning to remove plaque and tartar.
  • Application of a gentle, highly concentrated whitening gel to the teeth.

Result

  • Immediate and striking whitening of the teeth by 9 shades.
  • Painless and effective treatment.
  • Long-lasting result, especially with good oral hygiene and regular care.

RESULT AFTER WHITENING MAX+

Before

  • Stubborn discoloration of the teeth due to regular consumption of coffee, red wine and tobacco and unfortunate genetics.
  • Severe discoloration that is difficult to remove with gentler methods.
  • Desire for immediate and maximum results in a short time.
  • Teeth and gums are healthy and free from tooth decay and gum disease.

Treatment procedure

  • Professional tooth cleaning to remove plaque and tartar.
  • Application of a gentle, highly concentrated whitening gel to the teeth.

Result

  • Immediate and striking whitening of the teeth by 12 shades.
  • Painless and effective treatment.
  • Long-lasting result, especially with good oral hygiene and regular care.

CUSTOMER FEEDBACK MAKEUP ARTIST

Stephanie Jeg

 

"You are never fully dressed without a SMILE!  Good Morning! If you happened to scroll down my time line i seldom smile but now i do have a reason to smile thanks to @bleaching24.ch for my pearly white teeth located in the heart of Zürich. There is a good news coming ahead soon! Wait for it!  Check out her bio and follow! www.bleaching24.ch
Let start our day with a smile! Keep smiling!"


CEO & FORMER “PROFESSIONAL ATHLETE”

Mirco Nettis

 

Thank you very much for your active support.

We are grateful that you are a loyal customer!

The whole team is looking forward to your visit again soon.


A smile without words is an answer with a look into the heart.